Skip to navigation
Skip to main content
Home
Treatments
Implant Centre
About Us
Health Tourism
Contacts
Search form
Search
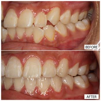
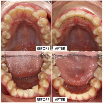
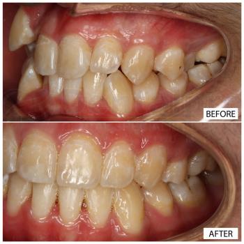
Fixed Appliance Metal
metal-braces-v2.png
metal-braces-v2.png