Skip to navigation
Skip to main content
Home
Treatments
Implant Centre
About Us
Health Tourism
Contacts
Search form
Search
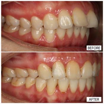
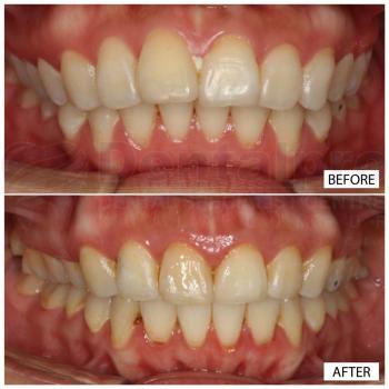
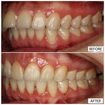
Fixed Appliance Ceramic
ceramic_braces_banner_700x250-v2.png
ceramic_braces_banner_700x250-v2.png